From Open Heart Surgery to a Half Marathon – Elyssa Goldstein a True Inspiration!

photo 5-48My friend Elyssa had open heart surgery a little over a year ago, and this weekend I’m going to run the Nashville Country Music Half Marathon with her.  Wow.

I will never forget going to see her in the hospital…and as I walked in, she was in rehab on the treadmill walking about 1mph.  To see her go from being able to sprint 12.5mph at Barry’s Bootcamp to hardly being able to walk on the treadmill – was heartbreaking.  But I told her right then that she would be back to a 12.5 in no time, and believe me – she was.

Elyssa has been a pillar of strength over this last year enduring surgery, rehab, numerous medical visits and a 9 month deployment of her boyfriend Brian.  I have seen her heart sick, her heart broken, and her heart STRONG.  Her strength outweighs all of the others.  To see her in class these days – she is determined. focused and one of THE strongest to finish – Every. Single. Time.  I’m in awe of her strength watching her and seeing how far she’s come!

We won’t be out to break any records on Saturday. Sorry Fleet Feet – I won’t be racing this one… but I will be right beside a gal who has the strongest heart I know!  It will be an honor to cross the finish line with her!!

I wanted Elyssa to tell us a little more about her story, surgery, recovery and how fitness has played a role in how far she has come. She is now a Beachbody coach, and is continually inspiring others out there.  I know she’s inspired ME in a huge way.  Elyssa, I can’t wait to cross that finish line with you!  Seeing you come this far has been an incredible blessing!

I sent her some questions and here is what she had to say…

-Tell me about your sickness – how you felt, how you were diagnosed, and your surgery

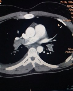
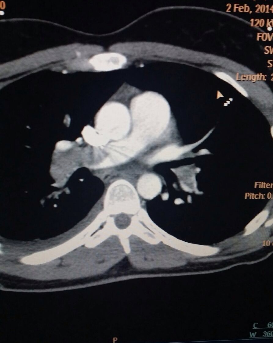
 Its kind of crazy because I had felt a little sick for a few days before things drastically changed…I had been yawning a lot, not because I was tired, but more because I need more oxygen. It was bizarre and I didn’t think anything of it. I had also had a cough for about two weeks. I went to Barry’s on wednesday and noticed I had a harder time running than usual. I just chalked that up to my kind of cold symptoms. On Thursday morning when I went in to work I had the occupational health nurse take a look at my because I was having right sided chest/side pain. She said my lungs sounded clear, and that I might have pulled a muscle in my chest/side (which made sense after some of the moves we had done for chest day at Barry’s the day before) and she told me if my cough continued to come back and see her on MondayOn Thursday evening when I went to bed everything hit me like a ton of bricks. I couldn’t lay flat. It literally felt like I had a ton of bricks on my chest. I couldn’t breath. So I propped myself up to sleep semi upright. When I woke up Friday morning it was worse. I couldn’t even take 3 steps without getting short of breath. I was breathing so heavy. I didn’t really want to go to the doctor but my friend insisted that we go. All that was done was a chest x-ray and I was diagnosed with pneumonia and sent home with antibiotics. Saturday I did not feel any better and was so upset because if you know me, you know I LOVE Keith Urban! He was playing at the Bridgestone Arena and I had had tickets for months (floor seats too!). I really just wanted to find a wheel chair and go (haha) but I knew I would be miserable and not able to enjoy it anyway. That night I coughed up blood as well. That scared me. I did some research and saw that it could be a symptom of pneumonia. So then I didn’t really think much else of it. Sunday morning…after two days of antibiotics, I woke up feeling worse, not better. I knew that something was wrong and that the antibiotics should have been working by now. I called my parents and talked to them for a bit about what to do…we decided I would go to the Vanderbilt ER. As soon as I got in the door and they did an EKG, saw how low my oxygen level was (it was in the low 80s for all of your medical people), and my heart rate was high. The EKG confirmed their suspisions for a pulmonary embolism (or PE) but they wanted to do a Cat Scan to be sure and see the size of it. Now I am a Cat Scan tech and we scan a bunch of these tests a day…usually about 3% are positive…As soon as I was back in the room from my scan the doctor was waiting for me to confirm the CT showed a massive PE. I asked him to show me and sure enough I saw it with my own eyes. I have been doing Cat Scans for 4 years and I had never seen a PE that big!! They began their workup and prepped me for the OR. I didn’t even know that going in and physically removing the clots was even an option when a PE was this bad. They informed me I would have to have open heart surgery (yes my heart was stopped and it is scary to even think about) and I was put on a by-pass machine. Within the hour I was up in the OR and undergoing the surgery. I remember the doctor calling my parents to let them know what was going on. I vaguely remember the disbelief as the doctor had to repeat to them over and over what was about to happen and what they had to do to save my life. My parents hopped in their car and left Pennsylvania that night and headed down to Nashville.  The surgery took about 4 hours. I am so thankful my sister was there with me every step of the way. I remember waking up after surgery, still intubated (had a breathing tube down my throat)…and the Super Bowl was on. I was trying to spell/sign to her “score” with my fingers…I wanted to know who was winning! Haha! Shortly after I woke up they pulled the breathing tube out. I do not remember much of the next 12-24 hours because of the heavy drugs they had me on, but I was transferred out of the ICU and to a step down room for the rest of my recovery in the hospital.

photo 1-147

photo 2-143

 

 

 

 

 

 

 

-How did you feel after your surgery?

Surprisingly, while I was in the hospital it was not that bad, but they kept me pretty comfortable with medication. The day after surgery they try to get you up and moving to start inpatient cardiac rehab which consists of walking slowly on a treadmill with my chest tube still attached. Getting on that treadmill was harder on me emotionally than physically. 4 days because this surgery I was running a 6 and a half min mile and sprinting at a 12.5 on an incline (I was in the best running shape of my life)…now I was walking at a 0.8!! As I was stepping on the treadmill though with my back to the door I heard someone say that I had a visitor…I turn around and there stands Megan Conner…go figure my trainer would perfectly time her visit as I am getting on the treadmill!!! What are the odds?!

Starting outpatient rehab after I was discharged was difficult for me too. I cried the first time I stepped foot in that gym and had to discuss everything with the therapist. But I had faith that with time I could get back to where I was before  my surgery. Thankfully I met an amazing man, Brian Rulison, who helped me to push through rehab every day and was my biggest supporter! He came to rehab and doctors appointments with me. He met me in probably the worst time of my list and could have easily walked away because I just had so much going on and was not healthy to be able to go on “normal dates” and so on. But he stuck by me, supported me, and helped me through it every step of the way. Having him come into my lift when I needed him most was the biggest blessing I have ever experienced!photo 4-75

The physical pain I had after the surgery consisted of not being able to lay flat for a good two months after. And even once I started to lay flat it uncomfortable for while. I also lost all range of motion in my arms. For 8 weeks after surgery I could not lift more than 10lb. Every week after that I could add another 10lbs. But I could hardly raise my arms past my shoulders for the longest time.

photo 3-111

-What were your goals after surgery?

My goals after surgery were to get back into the shape I was in before surgery. I was in the best shape of my life before surgery and I wanted to get back there again! I also had a goal of running a half marathon in the fall. That ended up not happening. It took me longer than I had imagined or would have liked to fully recover, but I am doing a half marathon a little over a year later to celebrate how far I have come!

-How has fitness played a part in your life and through all of this?

Honestly, if I was not in good shape physically when I got sick I probably would have died. All of the doctors and nurses told me over and over again how lucky I am to have survived this. PE’s, especially of this magnitude are usually fatal. Had I been overweight, out of shape, and my heart not strong enough to handle the amount of physical strain that is endured for so long I probably would have had a different outcome.

-What are the most positive things that you’ve learned through all you’ve been through? 

So along with getting back in shape physically, I also knew that I was going to have to be really mindful of my diet and eating. I wasn’t going to be able to eat like I use to since my workouts were not as hard and I really needed to focus on portion control. I found a great program called the 21 day fix from Beachbody. It uses portion control containers that you use to mix and match and create meals. I fell in love with this program. After discovering this program and going through everything that I had I wanted to pay it forward and help other people. I did not want someone else to have a different outcome or be unable to undergo a life saving surgery because of their poor health. So I signed up to be a BeachBody coach. It has been the most positive and best decision of my life! I am surrounded my positive, like-minded people and I get to help people every day live happier and healthier lives. Nothing makes me happier than having a challenger message me their before and after pictures and results. Or telling me they are down X about of pounds or have lost X amount of inches! Seeing these peoples lives change for the better and they become more happy and confident in themselves in the most rewarding thing! I love that I have found a way to turn what happened to me in to something positive to help others! Being a coach as also helped me to hold myself accountable for getting back into the shape I was before surgery. It took about 12 months but by February/March 2015 I finally felt that I had gotten back in to that shape again! If anything I feel that I am actually stronger and faster now!

This is Megan again… 🙂  I just wanted to finish by saying –

I’m so grateful for this girl and her inspiration, her support while my boyfriend is overseas as well, her love and support that are just continuous and selfless.  Elyssa – here’s to many more years of 12.5’s, half marathons and more!!  

elyssaendorphins

5 thoughts on “From Open Heart Surgery to a Half Marathon – Elyssa Goldstein a True Inspiration!

  1. What an awesome & inspirational person & story! It made me cry, reading of the journey & determination of Elyssa! Wishing you many years of marathons!

Leave a comment